ADVANCED IMAGING CENTER
PHYSICIAN NEWS

February 26, 2001

Ultrafast Contrast-Enhanced Dynamic MRI of the Pituitary Gland
State-of-the-art Imaging of Pituitary Microadenomas
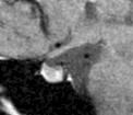
Fig. 1 Fig. 2 Fig. 3a Fig. 3b

CLINICAL PRESENTATION:  This young female was referred to AIC for diagnosis of a possible pituitary microadenoma (prolactinoma).  A contrast-enhanced (CE) dynamic MRI scan was performed.

MRI TECHNIQUE:  The scan is done on AIC's high-field 1.5 Tesla Siemens Symphony short-bore MR scanner.  Following routine scan of the brain and sella, a sequential ultrafast coronal scan of the pituitary gland is set up.  Each scan is performed in about 15-20 seconds, and multiple back-to-back serial scans are obtained during rapid intravenous infusion of 10-20 cc of gadolinium contrast using an MR-compatible power injector.  Delayed scans in the coronal and sagittal planes are also obtained through the sella.

MRI FINDINGS:  Fig. 1 is a precontrast coronal image through the sella.  Fig. 2 is an image from the first postcontrast dynamic scan.  Fig. 3a-b are delayed coronal and sagittal scans.  A 6 mm microadenoma is clearly visible in Fig. 2 in the left aspect of the gland (red arrows).  This is due to the fact that normal pituitary tissue (owing to lack of blood brain barrier) rapidly enhances before a microadenoma demonstrates enhancement.  Note that this same lesion is less conspicuous on the delayed scans (Fig. 3a-b).  In some cases, delayed scans completely obscure a microadenoma due to the fact that the microadenoma gradually enhances as time goes by.  Routine MRI of the sella utilizes scans that are on the order of minutes, allowing a microadenoma to enhance thus reducing tissue contrast between a microadenoma and normal pituitary tissue.

CONCLUSION:  Dynamic MRI of the sella should be the modality of choice for detection of pituitary microadenomas including prolactinomas.

REFERENCE:  The following is just one pertinent reference:

Corticotropin- and thyrotropin-secreting pituitary microadenomas: detection by dynamic magnetic resonance imaging. Smallridge RC; et al., Mayo Clin Proc 2000 May;75(5):521-8.  The authors conclude:  "We recommend that dynamic MRI be performed in any patient with a suspected microadenoma, before IPSS (surgical sampling) is performed."

For more information, you may call me at (661) 949-8111.

Ray Hashemi, MD, PhD
Director


| Home Page | Procedures | Certification | Radiologists | News Releases | FAQs | About Us | Location | Contact Us | 3D Gallery | Glossary | Frames |


ADVANCED IMAGING CENTER
43731 N. 15th Street West, Lancaster, CA 93534
Phone (661) 949-8111 - Fax (661) 949-6600